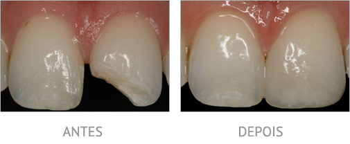
Dentisteria e Estética Dentária
Trata as lesões dos dentes, sejam elas causadas por cárie dentária, traumatismo ou outra razão e melhora a aparência e as proporções dentárias.

Restauração Branqueamento Piercing dentário
Periodontologia
Área da medicina dentária relacionada com a prevenção, diagnóstico e tratamento das doenças que afetam os tecidos de implantação e suporte do dente, nomeadamente a gengiva e o osso alveolar.
Cirurgia oral
Área da medicina dentária que se dedica ao diagnóstico e tratamento cirúrgico das doenças, lesões e anomalias dos dentes, boca, maxilares e estruturas anexas.

Odontopediatria
Especialidade da medicina dentária responsável pela manutenção da saúde oral nas crianças e adolescentes.

Ortodontia
Responsável pela prevenção e correção das más posições dos dentes e dos maxilares.

Implantologia
Área da Medicina Dentária que reabilita os dentes perdidos com implantes, que são“raízes artificiais” que se ligam ao osso e permitem a posterior colocação de coroas/próteses. Esta é a opção terapêutica que mais se assemelha ao dente natural em termos fisiológicos e de conforto.
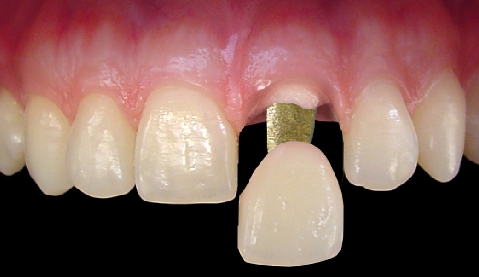
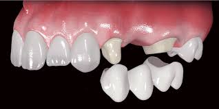
Prótese Fixa
Reabilitação parcial ou total, da coroa de um ou mais dentes ou implantes, através da colocação de uma prótese que não pode ser removida pelo paciente.
Prótese removível
Reabilitação de dos dentes perdidos com dispositivos metálicos ou acrílicos que podem ser removidos pelo paciente.

Endodontia
Ramo da medicina dentária dedicado à patologia da polpa dentária e tecidos que rodeam as raízes e o seu tratamento.

Oclusão
Ramo da medicina dentária que se dedica ao diagnóstico, prevenção e tratamento dos problemas de má oclusão e disfunção têmporo-mandibular.



